Affirm® Contrast Biopsy Software
Combine contrast-enhanced diagnostic capabilities with accurate lesion targeting in one seamless workflow, for an efficient breast biopsy procedure.

A Brighter Future for Breast Biopsy
The Affirm® Contrast Biopsy Solution enables the targeting and acquisition of breast tissue in lesions identified during contrast-enhanced mammography (CEM). Designed to maximize workflow efficiency while improving the patient experience, the complete Contrast Biopsy solution simplifies the breast biopsy process,* even for challenging procedures.
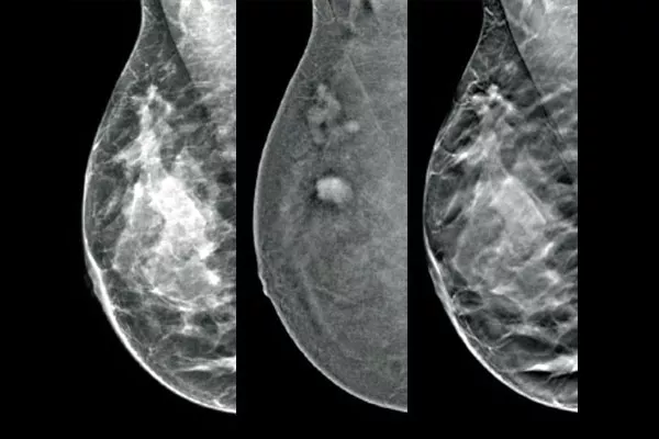
Biopsy with Contrast
Target and biopsy lesions identified with 2D contrast-enhanced mammography through a stereotactic-based procedure, with a comparable diagnostic performance to a breast MRI procedure.1,2 Compare post-marker images in the same modality as the initial diagnostic contrast exam.
Efficient Clinical Workflow
Improve the diagnostic experience by conducting the biopsy in the same room as the diagnostic imaging. Combining Affirm Contrast Biopsy software with the Affirm Upright Breast Biopsy Guidance System provides a familiar workflow, due to similarities with stereotactic biopsy.
Improved Patient Experience
Improve the patient experience with a shorter procedure time, higher tolerability and accessibility compared to breast MRI.2,3 Patients experience the familiarity of the same room and equipment used during their diagnostic mammogram.

Unlock the Advantage of Time
The Breast Health Continuum of Care offers integrated solutions for clinical confidence, workflow efficiency and compassionate patient care. It gives more women, more time in better health.
The Affirm Contrast Biopsy Software is part of the Hologic Biopsy Solution.
Increase Diagnostic Confidence
Affirm Contrast Biopsy software allows you to biopsy lesions identified during the I-View™ contrast-enhanced 2D mammogram. By leveraging the ability to provide 2D, contrast-enhanced, and tomosynthesis images under one compression,4 The Affirm Upright Breast Biopsy Guidance System enables a quick transition from screening to biopsy, leveraging the same proven imaging chain5 as the mammography system to improve 3D™ visualisation of suspicious lesions.**

Visit Our Virtual Hospital
Browse our portfolio of Breast Health solutions in 3D. See how you can unlock the advantage of time across the entire Breast Continuum of Care.
Discover our Complete Contrast Biopsy Solution
Affirm® Contrast Biopsy Software, in combination with I-View Contrast-Enhanced Imaging and the Affirm Upright Breast Biopsy Guidance System delivers a more efficient breast biopsy procedure.
An Efficient & Cost-Effective Alternative to MRI
Functional imaging, using CEM, compares favourably to breast MRI with similar sensitivity, higher specificity, and higher positive predictive value.7,8 In addition, CEM provides a cost-effective diagnostic imaging alternative9 compared to MRI, with a shorter procedural time.7,10

Evidence. Insight. Collaboration.
Our education portal improves patient care through excellence in education, communication of clinical and scientific evidence, and partnerships with the healthcare community.
Insights
* Compared to MRI procedures.
** Compared with prone stereotactic vacuum-assisted biopsy.
- Alcantara R, Posso M, Pitarch M, et al, Contrast-enhanced mammography-guided biopsy: technical feasibility and first outcomes. Eur Radiol. 2023 Jan;33(1):417-428.
- Kamal R, Mansour S, Farouk A et al, Contrast-enhanced mammography in comparison with dynamic contrast-enhanced MRI: which modality is appropriate for whom?, Egypt J Radiol Nucl Med 52, 216 (2021)
- Hobbs MM, Taylor DB, Buzynski S, et al. Contrast-enhanced spectral mammography (CSEM) and contrast enhanced MRI (CEMRI): Patient preferences and tolerance. J Med Imaging Radiat Oncol. 2015;59(3):300-305.
- Chou C, Lewin J, Chlang C et al. *Clinical Evaluation of Contrast-Enhanced Digital Mammography and Contrast Enhanced Tomosynthesis-Comparison to Contrast- Enhanced Breast MRI* Eur J Radiol. 2015 Dec; 84(12):2501-8. [Epub 2015 Oct1].
- Schradling S, Distelmaier M, Dirrichs T et al. Digital Breast Tomosynthesis-guided Vacuum-assisted Breast Biopsy: Initial Experiences and Comparison with Prone Stereotactic Vacuum-assisted Biopsy. Radiology. 2015 274:3,654-662.
- PLN-10394_001_01 – Affirm Contrast Biopsy Study.pdf.
- Li L, Roth R, Germaine P, et al. Contrast-enhanced spectral mammography (CESM) versus breast magnetic resonance imaging (MRI): A retrospective comparison in 66 breast lesions. Diagn Interv Imaging. 2017;98(2):113-123
- Xing D, Lv Y, Sun B, et al. Diagnostic value of contrast-enhanced spectral mammography in comparison to magnetic resonance imaging in breast lesions. J Comput Assist Tomogr. 2019;43(2):245–251
- Patel B, Gray R, Pockaj B, et al. Potential Cost Savings of Contrast-Enhanced Digital Mammography. AJR Am J Roentgenol. 2017;208(6):W231-W237.
- Coffey K, Jochelson MS. Contrast-enhanced mammography in breast cancer screening. Eur J Radiol. 2022;156:110513.